白目にもシミができる!?『目の糖化』にご注意を!

真っ白くてキラキラした白目は、顔の表情を明るく見せてくれるとても重要なパーツ。しかし、年齢を重ねるとともに、色が黄ばんできたり、キラキラ感が失われたり、充血が気になったりと、お悩みはつきません。そんな白目の変化には、アンチエイジングを妨げると話題の「糖化」が関わっている可能性もあるのです!
今回は、抗糖化研修会の理事でもある眼科専門認定医の加治優一先生に、加齢や糖化が引き起こす白目のトラブルや予防法、糖化のメカニズムについてお話をお伺いしました。
眼科専門認定、医学博士。東京大学 医学部医学科卒業。ハーバード大学マサチューセッツ眼科耳鼻科病院研究員、筑波大学講師を経て、現在は筑波大学 眼科学准教授、松本眼科 眼科医。専門は眼感染症、角結膜疾患、ドライアイ。抗糖化研究会の理事も務める。
理想的な白目と、老化した白目の状態の違いとは?

理想は充血などがなく白色をしていて、表面が涙でしっかりと覆われてツヤがあり、キラキラしている状態です。子どもの目を思い出していただくと、分かりやすいですね。

逆に老化すると、充血や黄ばみ、黒ずみなどが表れます。目のうるおいやキラキラ感がなくなって、くすんだように見えてしまいます。

白目が老化する原因とは?
白目が老化してしまう最大の外的要因は、紫外線。肌が日焼けをするように、白目にも色素沈着が起こり、黄色や茶色っぽく変色します。また、寝不足やドライアイ、コンタクト由来の乾き目も、充血や炎症を引き起こします。年齢に伴い表面の血管が切れやすくなり、出血することもあります。

生活習慣以外だと、病気が関わっている場合もあります。目頭や目尻側の白目が黄色くなる黄疸(おうだん)は、肝臓や腎臓など内蔵系の病気が考えられます。さらに、白目に炎症が起きる強膜炎(きょうまくえん)は、リウマチなどが原因で二次的に引き起こされることがあります。
目の色の変化から、何が原因であるかを判断するのは、ご自身では難しいもの。白目の色に異変を感じたときには、眼科を受診して目の状態を診てもらいましょう。
ただ、肌の衰え方に個人差があるように、その方の体質によって老化の度合いが異なりますし、老化自体を防ぐことはできません。加齢とともに白目の下にある強膜に色がつき、それが透けて白目全体に黄ばみやくすみが出てしまうのは、自然な変化と言えます。
白目が老化して、起こる病気とは?
加齢によって罹患する白目の病気の代表格が、「瞼裂斑(けんれつはん)」と「結膜弛緩(けつまくしかん)」です。眼科の一般的な検査では、主に黒目(角膜)に傷がないかを中心に診察することが多いため、白目に違和感がある方はご自身で眼科医に確認をしてみてください。
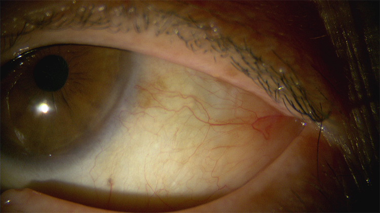
瞼裂斑(けんれつはん)

白目の中でも黒目の近くにできる平均2~3mmほどの黄色っぽいシミで、ポコっと出っぱっています。一般的に50歳を超えた方によく見られ、人によって色や大きさ、厚みに差があります。この厚みが原因で、コンタクトレンズやまばたきの際に引っかかってゴロゴロしたり、充血がひどくなる原因になります。
特に外でお仕事をする方に発症することが多く、紫外線の影響が考えられます。当院でも瞼裂斑の症状で眼科を受診される方が多く、高齢者にとってポピュラーな病気と言えます。
結膜弛緩(けつまくしかん)

その名の通り、白目(=結膜)がゆるんだり、たるんだりした状態で、50~60代だと8~9割の方に発症します。ドライアイやゴロゴロ感、充血の原因になるほか、黒目の下部にたるんだ膜が溜まり、視界がにじんで見えることがあります。また、白目の下の血管から出血する「結膜下出血」を引き起こすこともあります。
体の関節部分の肌のたるみなどと同様、稼働のためにゆるみやすくなると考えられていて、目をキョロキョロよく動かしている方や、まぶたに瞼裂斑が引っかかって勝手に目が動いてしまっている方などに起こりやすいとされています。
瞼裂斑と結膜弛緩の治療法とは?
どちらも視界への影響はほぼありませんが、瞼裂斑は加齢とともによく見られる症状であることをご説明し、結膜弛緩には目薬を処方してゴロゴロ感を緩和させるケアをしています。
どうしても気になる方には外科手術をすることもできますが、瞼裂斑は切除後に手術痕が赤く残ってしまうといった後遺症が出る場合があります。一度手術すると再発することはまずありませんが、よほど悪化しない限り手術での治療は行いません。
特に瞼裂斑は、老化現象を進めると話題になっている「糖化」が原因のひとつになるため、なるべく糖化を予防して、リスクを減らしておくと良いですね。
白目の病気の原因に?!「糖化」とは?
糖化とは、体内のたんぱく質と余分な糖が結びついて「終末糖化産物(AGEs)」(以下、糖化産物)という物質をつくりだします。その糖化産物が細胞などを劣化させ、老化につながったり、病気を引き起こしたりするとされています。しかし、たんぱく質も糖もヒトの体には欠かせない成分で、糖化は必ず起こるもの。お母さんのお腹の中にいる赤ちゃんの頃から糖化がはじまっているとも言えるため、一概にすべての糖化産物が病気の一因になるとは言えません。
病気の原因になりうる糖化産物は、たんぱく質と糖が結びつく通常の糖化反応に加え、さらにもう一段階の変化が加わったものだと考えられていて、その悪い変化を起こしてしまうのは、紫外線の影響が大きいと思われます。
また、糖化産物が溜まる場所の詳細もまだ解明されていません。例えば、先ほど紹介した瞼裂斑だと、瞼裂斑になっている部分は、全身で比較しても最も多く糖化産物が溜まっていることが分かっています。しかし、そのすぐ横部分はまったく糖化していないなど、なぜ瞼裂斑になるところだけに糖化産物が溜まってしまうのかが、分かっていないのです。
糖化は、これからもっと研究されていく分野だと言えますね。

糖化が影響を与える目の病気は他にもある?
糖化だけが原因ではありませんが、糖化が一因と考えられる主な病気として、以下の3つがあります。それぞれ目の表面や深部など場所は違いますが、患部を調べると糖化産物が溜まっていることが分かっています。
翼状片

白目を覆う結膜が、目頭から黒目に向かって伸びて覆いかぶさってくる病気です。
白内障

目の中の水晶体というレンズが濁ってしまうことで、光に過敏になってしまい、かすみ目や視力低下などを引き起こします。
加齢黄斑変性症

目の中心にある黄斑に変化が生じ、見えにくくなるなどの症状が表れます。悪化すると失明する危険性もあります。
悪影響を及ぼす糖化を防ぐには?
すぐにできることは、紫外線対策です。サングラスなどで目全体を守りましょう。コンタクトレンズにもUV加工のものはありますが、黒目だけを守っても白目の紫外線対策にはなりません。

そして、活性酸素の生成を抑えること。「抗酸化」という言葉もよく聞かれると思いますが、活性酸素を原因とする酸化を抑えることは、糖化の悪い変化を防ぐ意味でも大切です。本来ヒトの体には活性酸素の働きを抑える機能がありますが、不摂生や栄養の偏りが抑制機能の働きを悪くしてしまいます。ビタミンC・E、βカロテンを含む抗酸化食品を意識して、バランスの良い食事を心がけましょう。抗糖化、抗酸化を目的にしたサプリメントを、サポートとして活用するのもいいですね。
白目の色の変色の原因が加齢であるものは、どうしても防ぐことができません。しかし、目がしっかりとうるおいを保っていれば、白目のツヤやキラキラ感をキープすることは可能です。今回紹介したように、目に悪影響のある糖化をできるだけ起こさせないよう、紫外線と食生活などのライフスタイルに注意をして、目を乾燥から守り、いつまでも美しい白目を保ちましょう。
